Když samotná rovnátka nestačí...
| |
|
|

|
Carriere Motion
Moderní varianta léčby předkusu. Na rozdíl od jumping aparátu se nasazuje hned na začátku léčby a obvykle během 3-5 měsíců upraví skus do správné pozice (délka strávená s Carriere Motion především záleží na svědomitosti pacienta v nošení gumiček). Následně nasadíme jeden z typů rovnátek (snímatelná foliová rovnátka nebo fixní rovnátka) a zuby dorovnáme do zcela rovné pozice ve správném skusu. V naší ordinaci používáme pouze průhledné provedení Carriere Motion Clear.
|
| |
|
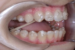
Gumové tahy
Gumové kroužky, které si pacient sám nandává na rovnátka. Umožňují posun horních a dolních zubů vůči sobě. Používají se při léčbě menšího předkusu, zkříženého skusu a na konci léčby k "zakousnutí" horních a dolních zubů do sebe. Tahy neomezují otevírání úst a nezhoršují výslovnost.
|
.jpg) |
| |
|
.jpg) |
Kotevní implantát
Titanový šroubek, který v ordinaci zavrtáme mezi kořeny zubů. Jedná se o zcela bezbolestný zákrok trvající max. 1 minutu. Kotevní implantáty po svém uvedení na ortodontický trh způsobily revoluci v našem oboru. Umožňují pohyby zubů, které byly v době před kotevními implantáty neproveditelné.
|
| |
|
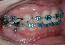
Jumping aparát
Aparát, který se uchycuje na fixní rovnátka jednostranně nebo i oboustranně. Používá se k léčbě výrazného předkusu a asymetrií skusu. Neomezuje otvírání úst. Na obrázku vypadá hrůzostrašně, ale ve skutečnosti nepůsobí větší problémy. Navíc je navenek jen velmi málo viditelný. V ústech bývá 4-6 měsíců. Tento aparát jsme již nahradili aparátem Carriere Motion.
|
.jpg) |
| |
|
|
.jpg) |
Hyrax
Fixní aparát, který slouží k rozšíření celé horní čelisti. Pacient (nebo rodiče, partner...) točí šroubem na patře, čímž dochází k rozšiřování aparátu. Při rozšiřování postupně vzniká mezera mezi horními řezáky. V následujících týdnech se sama uzavírá. V ústech bývá 4-5 měsíců. Tento aparát používáme již jen u dětí v 8-9 letech.
|
| |
|
|
Fixní nákusná deska
Destička za horními zuby, kterou lze velmi snadno zvýšit skus. Používá se v případech, kdy dolní řezáky nakusují do horního patra. Je v ústech napevno. Tato metoda je velmi účinná, ale způsobuje značné potíže s mluvením a ústní hygienou. Proto již tento aparát v naší ordinaci NEPOUŽÍVÁME.
|
.jpg) |
| |
|
|
.jpg) |
Zevní tah
Používá se pro pohyby s horními stoličkami a brždění horní čelisti v růstu. Tento aparát již v naší ordinaci NEPOUŽÍVÁME. Nahrazujeme jej např. kotevními implantáty a aparátem Carriere Motion.
|
| |
|