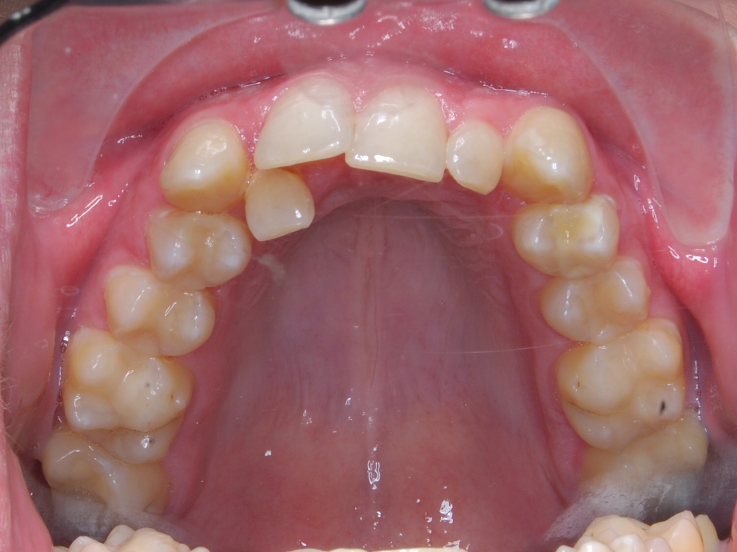
Samoligovací fixní aparáty
V naší ordinaci používáme kvalitní samoligovací zámky v kovovém provedení. U moderních, samoligovacích zámků dochází k nižšímu tření mezi zámkem a drátem než u zámků s gumičkami, což zjednodušuje léčbu a může
jí zrychlit až o 30%.
Malé tření zámků, spolu s dalšími prvky, umožňuje ve většině případů vyrovnání zubů bez nutnosti extrahovat některézuby.
Používáme pouze variantu v kovovém provedení. Bílé keramické zámky již nepoužíváme z důvodu p
oměrně vysokého příplatku, který se v součtu blíží ceně rovnátek foliových, která jsou výrazně estetičtější a pohodlnější.
Výhody samoligovacích zámků oproti klasickým zámkům s gumičkami:
- až o třetinu rychlejší léčba
- méně často je třeba extrahovat zuby
- širší, moderní úsměv
- plnější profil rtů po léčbě
- zámky jsou zaoblené a tím pádem pohodlnější než klasické zámky
![]() |
![]() |
![]() |





.jpg)

.jpg)
.jpg)
.jpg)
.jpg)
.jpg)
