Pacient 2

Předchozí příklad léčby

Další příklady léčby

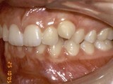
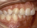
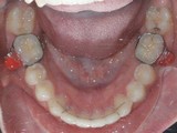
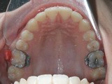
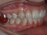
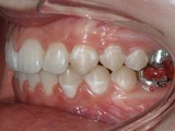
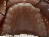
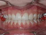
Zkřížený skus, předkus, nedostatek místa pro špičák. Léčba pomocí aparátu Hyrax a dále fixními aparáty v obou čelistech s jumping aparátem. V ústech přítomné MARA-stopy na dočasnou stabilizaci výsledku.

 

      Před léčbou        Po léčbě 
      přední pac2        přední pac2
               
      pravo pac2       prava pac2
               
      levo pac2       levo pac2
               
      horní pac2       horní pac2
               
      dolní pac2       dolní pac2
               
      usměv pac2       úsměv pac2

Provozní doba

Pondělí - Středa
07.30 - 14.30 (Recepce - tel., email objednávky)
07.30 - 12.00 (Konzultace s lékařem, kontroly)
12.00 - 18.30 (Plánované úpravy aparátů tel. po 14.30 nedostupný)
 
Čtvrtek
11.00 - 18.30 (Recepce - tel., email objednávky)
07.30 - 14.00 (Plánované úpravy aparátů tel. do 11.00 nedostupný)
14.00 - 18.30 (Konzultace s lékařem, kontroly)  
 
Pátek
07.30 - 14.00 (Recepce - tel., email objednávky)
07.30 - 12.00 (Konzultace s lékařem, kontroly)
12.00 - 14.00 (Plánované úpravy aparátů)  
 
Poslední pacienty ošetřujeme 1 hodinu před koncem provozní doby.

Ordinace

Křižíkova 332/1
186 00 Praha 8
Přímo u metra B+C Florenc
MAPA

 

KONTAKT

tel.: 728 671 441
info@rovnatka-praha.cz
napište nám

Ortodoncie MUDr. Ondřej Suchý
Vytvořilo Anawe
Nastavení cookies