Pacient 3

Předchozí příklad léčby

Další příklady léčby

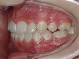
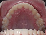
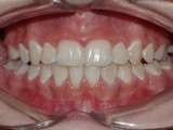
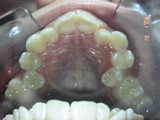
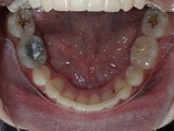
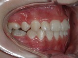
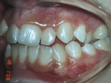
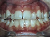
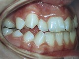
Zkřížený skus, otevřený skus, stěsnání v obou čelistech. Léčba: rozšíření horní čelisti aparátem Hyrax, dále extrakce všech pětek a dorovnání zubů fixními aparáty v obou čelistech.

 

      Před léčbou        Po léčbě 
      přední pac 3       přední pac3
               
      pravo pac3       pravo pac3
               
      levo pac3       levo pac3
               
      horní pac3       horní pac3
               
      dolní pac3       dolní pac3
               
      úsměv pac3       úsměv pac3

Provozní doba

Pondělí - Středa
07.30 - 14.30 (Recepce - tel., email objednávky)
07.30 - 12.00 (Konzultace s lékařem, kontroly)
12.00 - 18.30 (Plánované úpravy aparátů tel. po 14.30 nedostupný)
 
Čtvrtek
11.00 - 18.30 (Recepce - tel., email objednávky)
07.30 - 14.00 (Plánované úpravy aparátů tel. do 11.00 nedostupný)
14.00 - 18.30 (Konzultace s lékařem, kontroly)  
 
Pátek
07.30 - 14.00 (Recepce - tel., email objednávky)
07.30 - 12.00 (Konzultace s lékařem, kontroly)
12.00 - 14.00 (Plánované úpravy aparátů)  
 
Poslední pacienty ošetřujeme 1 hodinu před koncem provozní doby.

Ordinace

Křižíkova 332/1
186 00 Praha 8
Přímo u metra B+C Florenc
MAPA

 

KONTAKT

tel.: 728 671 441
info@rovnatka-praha.cz
napište nám

Ortodoncie MUDr. Ondřej Suchý
Vytvořilo Anawe
Nastavení cookies