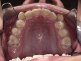
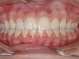
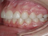
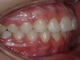
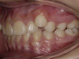
Pacient 4

Předchozí příklad léčby

Další příklady léčby

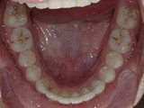
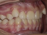
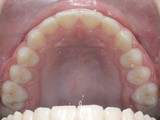
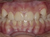
Nedostatek místa pro špičáky. Léčba fixními aparáty v obou čelistech.

 

      Před léčbou        Po léčbě 
      přední pac4       přední pac4
               
      pravo pac4       pravo pac4
               
      levo pac4       levo pac4
               
      horní pac4       horní pac4
               
      dolní pac4       dolní pac4
               
      úsměv pac4       úsměv pac4

Provozní doba

Pondělí - Středa
07.30 - 14.30 (Recepce - tel., email objednávky)
07.30 - 12.00 (Konzultace s lékařem, kontroly)
12.00 - 18.30 (Plánované úpravy aparátů tel. po 14.30 nedostupný)
 
Čtvrtek
11.00 - 18.30 (Recepce - tel., email objednávky)
07.30 - 14.00 (Plánované úpravy aparátů tel. do 11.00 nedostupný)
14.00 - 18.30 (Konzultace s lékařem, kontroly)  
 
Pátek
07.30 - 14.00 (Recepce - tel., email objednávky)
07.30 - 12.00 (Konzultace s lékařem, kontroly)
12.00 - 14.00 (Plánované úpravy aparátů)  
 
Poslední pacienty ošetřujeme 1 hodinu před koncem provozní doby.

Ordinace

Křižíkova 332/1
186 00 Praha 8
Přímo u metra B+C Florenc
MAPA

 

KONTAKT

tel.: 728 671 441
info@rovnatka-praha.cz
napište nám

Ortodoncie MUDr. Ondřej Suchý
Vytvořilo Anawe
Nastavení cookies