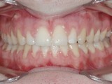
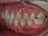
Výrazný předkus s mezerami v horním zubním oblouku. Chybějící horní levá šestka. Léčba: Fixní aparáty v obou čelistech a jumping aparát na léčbu předkusu. Uzávěr mezery po chybějícím zubu posunem levých horních stoliček dopředu fixním aparátem.
|
Před léčbou |
Po léčbě | ||||||
![]() |
![]() | ||||||
![]() |
![]() | ||||||
![]() |
![]() | ||||||
![]() |
![]() | ||||||
![]() |
![]() | ||||||
![]() |
![]() |





.jpg)
.jpg)
.jpg)
.jpg)
.jpg)
.jpg)
.jpg)
.jpg)
.jpg)
.jpg)
.jpg)
.jpg)
.jpg)
